Inicio
Casos de Pacientes
Certificación Dr. Galvan
Biografía Dr. Galvan
¿Quiénes Somos?
Testimonios
Viajes y Hospedaje
Precios
Contacto, Información y Citas
Casos de pacientes del Doctor Jorge Galvan MD Cirujano Plástico
Miembro de
Miembro de
Miembro de
Otoplastia
Blefaroplastia
Reducción de senos
Reconstrucción de senos
Aumento de glúteos
Botox
Restylane
Miembro de
Miembro de
Miembro de
Rejuvenecimiento facial
Aumento de senos
Implantes de injertos de grasa lipolifting
Cirugía de mentón y cuello
Rinoplastia
Levantamiento de senos
Liposucción de ultrasonido y contorno corporal
Blefaroplastia
Dr Jorge Galvan MD - Cirujano Plástico
Antes
Después
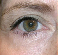
Blefaroplastia
Dr Jorge Galvan MD - Cirujano Plástico
Antes
Después
Blefaroplastia
Dr Jorge Galvan MD - Cirujano Plástico
Antes
Después
Rejuvenecimiento facial
Aumento de senos
Implantes de injertos de grasa lipolifting
Cirugía de mentón y cuello
Rinoplastia
Levantamiento de senos
Liposucción de ultrasonido y contorno corporal
Otoplastia
Blefaroplastia
Reducción de senos
Reconstrucción de senos
Aumento de glúteos
Botox
Restylane